Sëmundjet e lindura të zemrës tek fëmijët


Semundjet e lindura te zemres

Sëmundjet e lindura të zemrës janë të shumta në numër. Për efekt përqendrimi të informacionit ne do të përmendim ato që hasen më shpesh, siç janë vrimat e lindura të zemrës si dhe ngushtimet e enëve kryesore të gjakut. Disa prej tyre janë:

  • Defekti interatrial – vrimë në ndarësen midis dy veshoreve.
  • Defekti interventrikular – vrimë në ndarësen midis dy barkusheve.
  • Kanalet atrioventrikulare – vrimë në planin valvular.
  • Ngushtimet e arterieve kryesore të zemrës si:
    • Stenoza e aortës.
    • Stenoza e arteries së mushkërive.
  • Koarktacioni i aortës – ngushtimi i theksuar i aortës jashtë zemrës.
  • Tetrada fallot – një vrimë e madhe midis barkusheve dhe një ngushtim i rëndësishëm i enës që çon gjakun në mushkëri.
  • Në sëmundjet e lindura të zemrës klasifikohen edhe sëmundje të tjera, që janë mjaft të komplikuara, më të rralla, të cilat në shumicën e rasteve nuk arrijnë të zgjidhen në mënyrë përfundimtare.

Ankesat:

  • Fëmijët që kanë vrima në zemër, zakonisht nuk shprehin ndonjë shqetësim, dhe diagnostikimi i tyre mund të bëhet krejt rastësisht.
    • Për këtë arsye është e domosdoshme që çdo fëmijë të kryejë një TTE (eko të zemrës) pas lindjes për të përjashtuar një sëmundje të lindur të zemrës.
    • Disa nga këto sëmundje, si vrimat në veshore, nuk japin as zhurma kur zemra dëgjohet me stetoskop. Për këtë arsye TTE (eko e zemrës) është vendimtare.
  • Në rastet me tetradë fallot, fëmija përveçse ka zhurmë të shprehur në zemër kur dëgjohet me stetoskop, mund të ketë edhe:
    • Nxirje të buzëve.
    • Nxirje të gishtave dhe thonjtë si “xham sahati”.
    • Marrje fryme.
    • Lodhje.
    • Qëndrimi në një pozicion të caktuar – “galiç”.
    • Ndryshime në analizën e gjakut.

Diagnoza:

    TTE

    Ekokardiografia transtorakale triplex (2D, color, doppler) ose e njohur ndryshe si eko e zemrës. Ky është ekzaminimi bazë dhe i domosdoshëm për të diagnostikuar këto sëmundje.


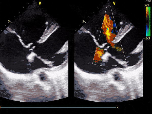
    Pamje të kapura me TTE:


Me anë të TTE-së vëzhgohen shumë mirë vrimat në zemër, duke përfshirë:

  • Pozicionin e tyre.
  • Madhësinë.
  • Ndikimin në madhësinë dhe funksionimin e zemrës.

Me anë të TTE-së mund të vëzhgohen dhe të vlerësohen:

  • Valvulat e zemrës.
  • Enët e gjakut që dalin nga zemra.
  • Enët e gjakut që hyjnë në zemër.

Nga rezultati i TTE-së varet edhe trajtimi i mëtejshëm i fëmijës. E rëndësishme është se sa më shpejt të diagnostikohet një sëmundje e lindur e zemrës aq më efikas është dhe trajtimi.


Trajtimi:

Trajtimi varet gjithmonë nga diagnoza. Ai mund të jetë:

  • TTE periodike.
  • Trajtim me medikamente.
  • Ndërhyrje kirurgjikale – e cila konsiston në:
    • Qepjen e vrimës.
    • Mbylljen e saj me arnë (copë nga cipa e zemrës së vetë fëmijës).
    • Zgjerimin e ngushticave.
    • Në disa raste, vendosjen e valvulave artificiale.

  • Në rastet kur diagnoza vendoset me vonesë, fëmija mund të bëhet i paoperueshëm. Kjo mund të ndodhë për shkak të rritjes së presioneve të gjakut në anën e djathtë të zemrës dhe në mushkëri. Në rast se nuk operohet në kohën e duhur, gjendja vjen duke u përkeqësuar, pavarësisht trajtimit me medikament

    Në disa raste mund të përballemi me sëmundje të lindura edhe tek të rriturit. Këta mund të jenë pacientë të diagnostikuar vonë dhe që nuk kanë pasur probleme serioze, ose i kanë neglizhuar ato. Në këto raste mund të vazhdojë ecuria natyrale e sëmundjes, ose mund të ndërhyhet me rrugë kirurgjikale, gjithmonë nëse vlerësohet e mundur.


Parandalimi:

  • Parandalimi ka gjithmonë lidhje me mjekun obstetër gjinekolog, si dhe me mjekun kardiopediatër që kryen eko të zemrës së fetusit (eko kardiake intrauterine – para lindjes së fëmijës).
  • Ka të bëjë gjithashtu me ndërgjegjësimin e gruas shtatzënë për të mbajtur një regjim të caktuar para dhe gjatë shtatzënisë, si edhe kryerjen e një sërë analizave dhe ekzaminimeve gjatë gjithë periudhës së shtatzënisë.


  • KUJDES! Teksti në këtë faqe është shkurtuar dhe thjeshtësuar për t'u bërë më i kuptueshem nga pacienti mesatar. Ai ka si qëllim informimin e publikut dhe nuk duhet në asnjë mënyrë të zëvendësojë konsultat mjekësore të specializuara.